
春节,是团圆的日子,也是心血管急症的高发期。今天是丙午马年正月初八,当人们还在回味新春的余温时,我院心血管内科交出了一份特殊的"春节答卷":从除夕到正月初七,全科收治病人70个,急诊手术31台,日均3-5台,医护人员”马不停蹄”地奔跑在守护生命的战线上。
春节期间气温偏低,加上饮食作息不规律,急性心肌梗死、高危胸痛进入高发期。
针对这一特点,我院胸痛中心提前启动节日应急预案,心内科导管室实行主任带班、骨干值守、全员备班的强化机制。介入医师与导管室护士组成应急专班,确保急诊PCI绿色通道全天候畅通,实现"呼叫即响应、到院即手术、开通即救命"。
"时间就是心肌,时间就是生命。"心内科主任姜胜介绍,节日期间导管室24小时待命,团队以"白+黑"连轴转的方式,牢牢守住心梗救治的"黄金120分钟"。
正月初四傍晚,一场惊心动魄的生死急救在导管室上演。
18时48分,胸痛中心急诊绿色通道的电话骤然响起:一名来自上党区的59岁男性患者,因突发剧烈胸痛伴大汗淋漓紧急转运。途中,患者发生5次室颤,入院时已呈气管插管状态,意识模糊。心电图提示"急性广泛前壁ST段抬高型心梗",病情危重。
"启动导管室!"科室副主任、值班主任医师赵宇红一声令下,应急流程立即运转。胸痛团队成员10分钟内全部到位。
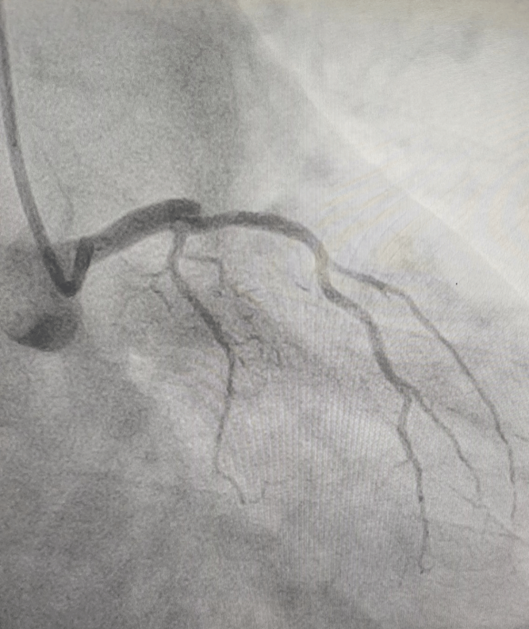
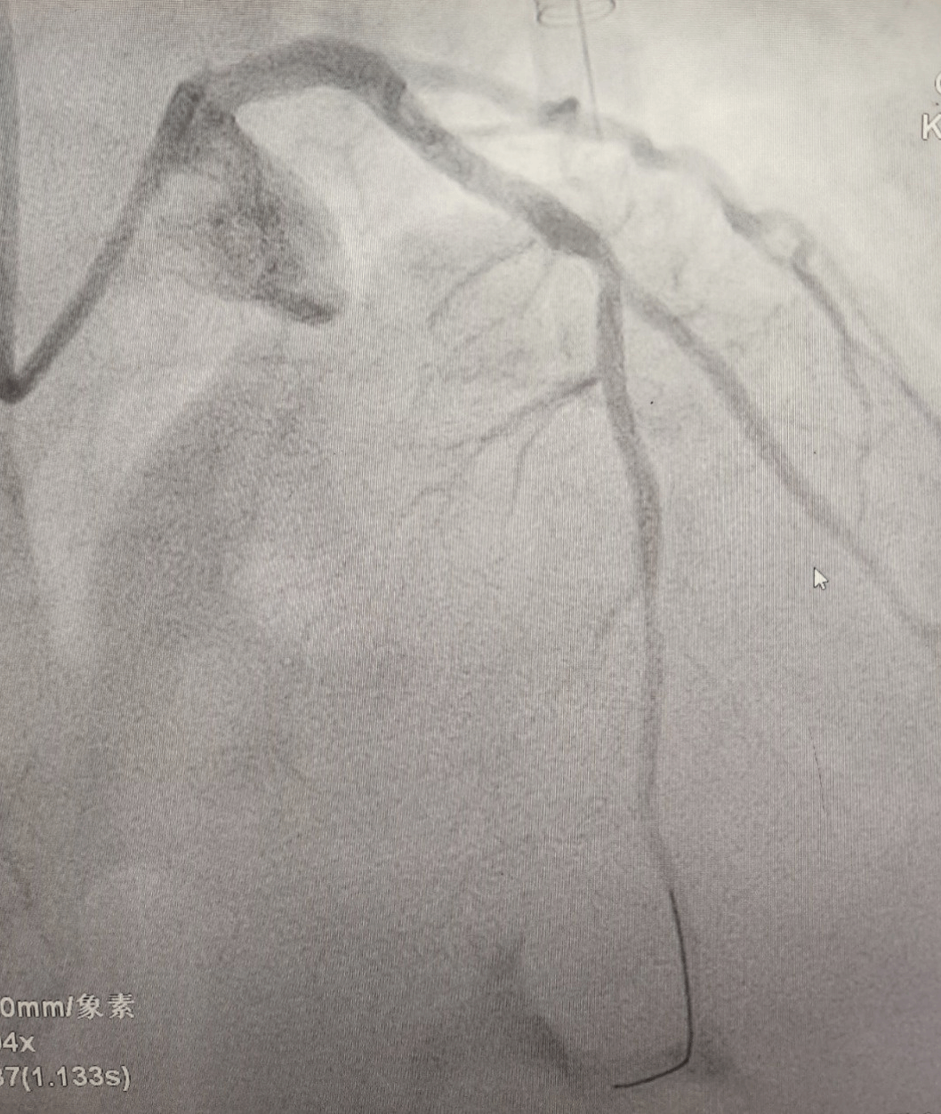
手术间内,铅衣加身,监护仪的滴答声与术者简短有力的口令声交织。冠脉造影精准锁定罪犯血管,导丝顺利通过,球囊精准扩张,一枚支架被准确植入闭塞段。患者进入导管室到血管开通 仅用时11分钟。术后,患者胸痛症状缓解,生命体征趋于平稳,被安全转运至CCU。
治疗前VS治疗后
当手术结束,脱下厚重的铅衣,医护人员的洗手衣早已被汗水浸透。窗外,已是万家灯火。
正月初四的抢救,只是这个春节心内科工作的一个缩影。据统计,七天假期,科室共完成急诊介入手术31台。心内科导管室全体人员无缝衔接,无一台急诊延误、无一例安全事件。
导管室内,没有鞭炮声,只有监护仪的平稳节律;没有团圆饭,只有术后的一杯热水、一句叮嘱。值班室里,备着泡面与牛奶;更衣柜上,贴着家人简短的祝福便签;手术间外,是随时待命的应急车辆与畅通无阻的急救链路。
心内科医务人员以铅衣为甲、以仁心为盾,在射线之下守护心脏律动,让每一个家庭都能平安团圆。
附属和平医院供稿