您所在的位置: 首页 > 和平医疗集团动态 > 正文 和平医疗集团动态
    【和济心胸外科】主动脉夹层患者有救了!!!我院成功开展首例主动脉B型夹层大血管支架植入术
    发布者: 来源:  日期:2026-03-04 08:23









    近日,长治医学院附属和济医院在多学科协作下,成功为一例主动脉B型夹层患者实施了首例“大血管支架植入术”。这一高难度介入手术的顺利开展,不仅拆除了患者体内的“定时炸弹”,也标志着我院在急危重症血管疾病诊疗领域迈上了新的台阶。

    腹痛患者,消化内科精准诊断

    元宵节前夕,一名腹痛的患者就诊于我院消化内科门诊,经过详细的问诊及查体,高度怀疑大血管疾病,经主动脉CTA(血管造影)精准检查,患者被明确诊断为:主动脉B型夹层。时间就是生命!面对这一急危重症的典型症状,急诊科医护人员迅速响应,凭借丰富的临床经验,第一时间启动胸痛绿色通道。

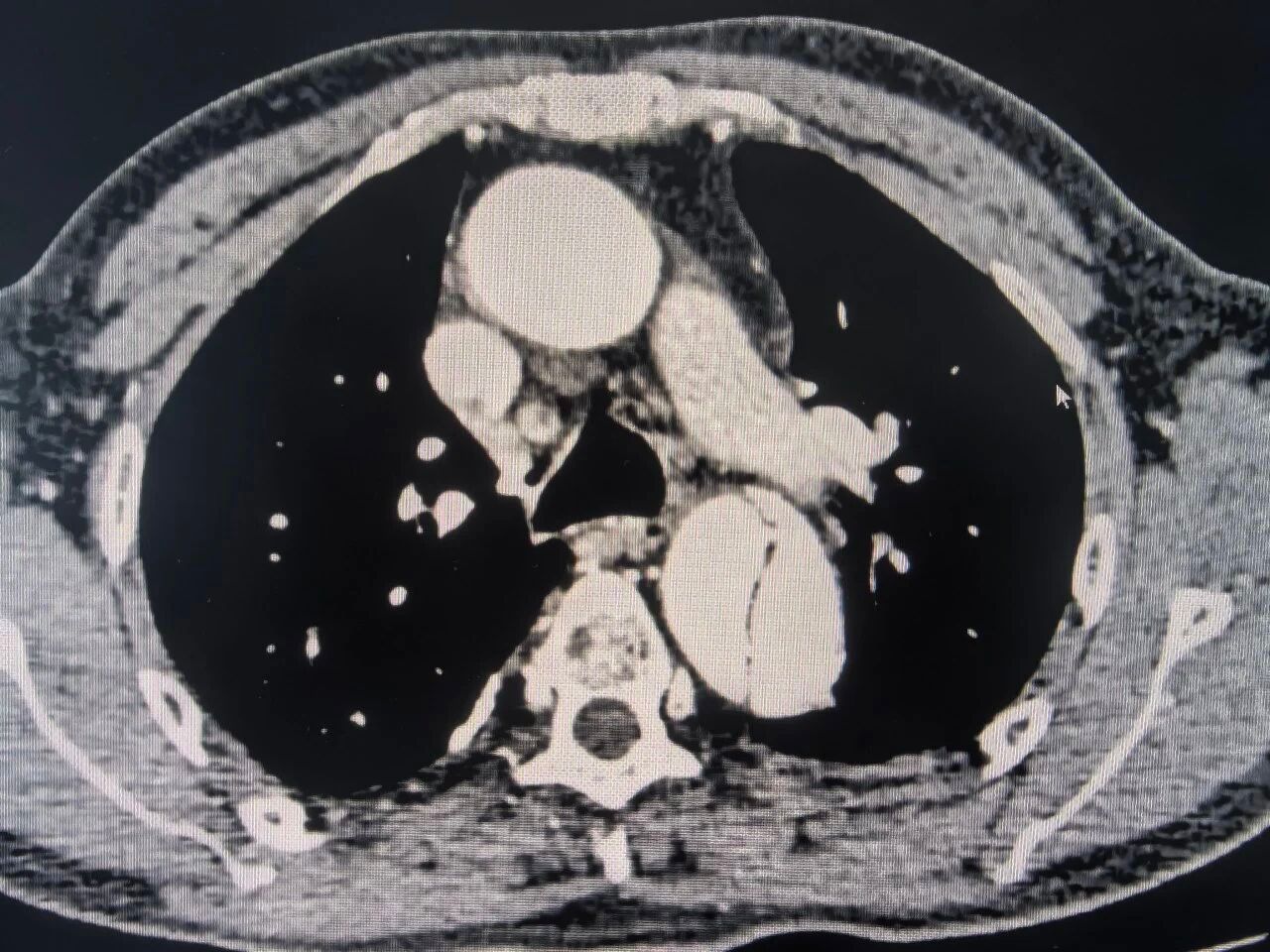
    术前CT检查

    这是一种极其凶险的血管疾病,主动脉内膜撕裂后,血液涌入血管壁中层,如同在体内形成一个随时可能破裂的“假腔”,一旦夹层破裂,患者将面临致命性大出血,生死只在顷刻之间。

    生命至上,多学科吹响“集结号”

    病情就是命令!患者被紧急收入心胸外科进行救治。考虑到病情的复杂与危重,院领导极为重视,亲自指挥协调,医务科快速组织,一场和死神的较量就此开始。

    在心胸外科的主导下,介入导管室、麻醉科等多科室专家迅速集结,开展了细致的术前讨论。针对患者病变位置、血管条件以及手术风险,专家团队制定了周密的手术方案“主动脉B型夹层覆膜支架腔内隔绝术”。这是一种微创介入技术,无需开胸,仅通过大腿根部几毫米的穿刺点,将特制的人工血管支架精准输送至病变位置,像“堤坝”一样封堵住内膜破口,恢复血流通畅。

    精诚协作,打赢“血管保卫战”

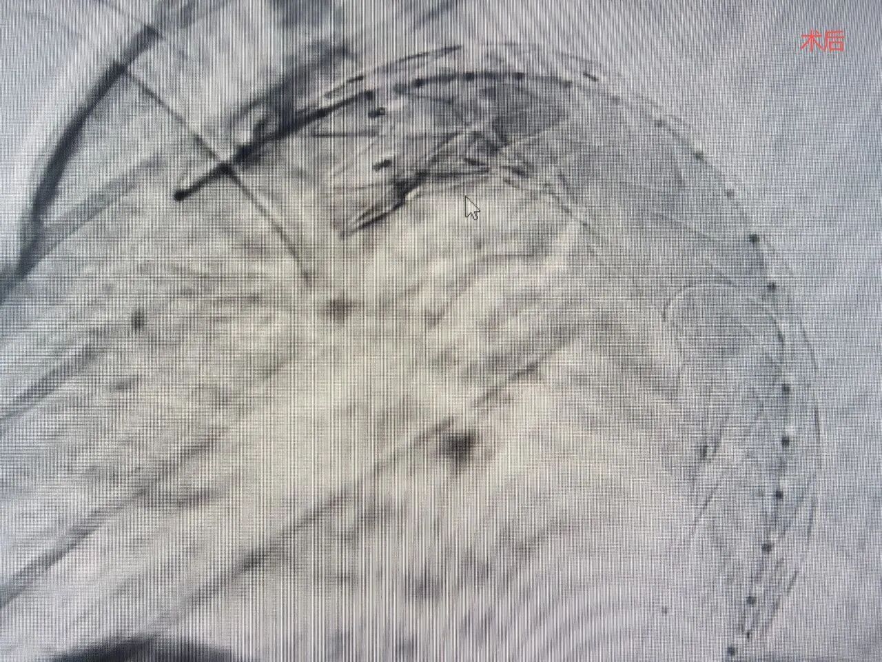
    手术当日,在介入导管室的手术间里,气氛紧张而有序。介入治疗团队凭借精湛的技术,通过数字减影血管造影(DSA)的精确引导,麻醉科医师全程严密监护,介入护理团队配合默契,器械传递精准高效,确保患者生命体征平稳。

    导丝轻柔地通过病变血管,覆膜支架被缓缓推送至主动脉弓降部,定位、释放、贴合——整个过程一气呵成。术后即刻造影显示:支架定位精准,形态良好,破口被完美封堵,真腔血流通畅,假腔消失不见。这颗威胁患者生命的“重磅炸弹”被成功拆除!

    技术突破,为区域百姓带来“心”希望

    此次手术的成功,不仅是个体患者的幸运,更是我院综合救治能力的一次集中体现。从急诊科的快速识别,到心胸外科的精湛技术,再到介入导管室、麻醉科的默契配合,每一个环节都彰显了和济人严谨务实、团结协作的精神风貌。

    目前,患者术后恢复良好,胸痛症状完全消失,已经脱离生命危险,正在康复之中。

    此例手术的顺利开展,填补了我院在主动脉B型夹层介入治疗领域的技术空白,为今后处理同类急危重症积累了宝贵的经验。长治医学院附属和济医院心胸外科将继续秉承“厚德、精医、济世、为民”的院训,不断精进医疗技术,优化服务流程,为上党老区人民群众的心血管健康筑起一道坚实的防线。


                                                     附属和济医院供稿



    上一篇:【和济营养】 3.8 妇女节|医学营养减重 守护女性健康

    下一篇:【和济儿科】健康护航 快乐成长 ————我院开展寒假儿童生长发育义诊主题活动